Stefan Picha

Nach seiner Ausbildung im Labor Snay machte er sich 1992 auf die Suche nach seinem Weg in der Zahntechnik. Diesen fand er 1996 bei Michael Polz und Stefan Schunke. Nach einigen Jahren der Weiterbildung auf den Gebieten der Ästhetik, Funktion und Frästechnik legte er 2002 seine Meisterprüfung als Externer an der Meisterschule in Nürnberg ab. Seit 2009 ist Stefan Picha Mitglied im Ausschuss der Meisterprüfungskommission Nürnberg und seit 2010 selbstständig mit einem eigenen Labor. Seit September 2015 ist er Mitglied der renommierten Oral Design-Gruppe.

Was mir wichtig ist

Langjährige Erfahrung, Verlässlichkeit und das Wissen um Materialien, Techniken und Farben sind für mich zielführender als Experimente – erst recht bei komplexen Restaurationen. Ich arbeite daher nicht experimentell, sondern strukturiert und funktionell nach bewährtem Konzept.

Was meine Kursteilnehmer erwartet

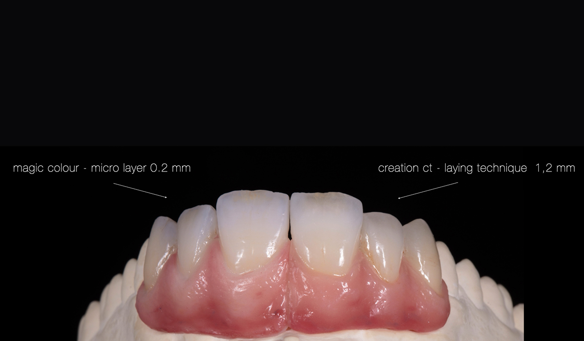
Vor mehr als 20 Jahren habe ich mich auf komplexe Keramikversorgungen spezialisiert. Ich habe so ziemlich alle Restaurationsarten auf Implantaten durchgearbeitet – kaum ein Problem, vor dem ich nicht schon stand, kaum eine Frage, die ich mir noch nicht gestellt habe. Diesen Fundus an Lösungen und Antworten möchte ich in meinen Kursen weitergeben und zeigen, wie sich vitale Keramikrestaurationen erfolgreich gestalten lassen. Das heißt jedoch nicht, dass schöne Zähne und natürlich aussehendes Zahnfleisch bereits eine erfolgreiche Restauration darstellen. Wie steht es um Tragekomfort, Sprach- und Lautbildung, Hygienefähigkeit…? Kurz: Ästhetik ist schön, Funktionalität ist wesentlich!