Stefan Frei

Nach der zahntechnischen Ausbildung in seiner Heimatstatt Karlsruhe arbeitete Stefan Frei von 2001 bis 2007 in Stuttgart im Labor von Peter Biekert. Nach seiner Meisterprüfung war er im zahntechnischen Betrieb der Eltern tätig; parallel dazu hatte er die Möglichkeit, im Labor von Oral Designer Bertrand Thiévent in Zürich mitzuarbeiten. 2009 führte ihn sein Weg nach München in das Labor von Dr. Jan Hajtó, in dem er bis 2014 als Laborleiter angestellt war. Anfang 2014 begann er seine Selbständigkeit und gründete die „Plattform für feinste Dentaltechnologie“ mit Otto Prandtner und Hubert Schenk. Stefan Frei arbeitet in diversen wissenschaftlichen Gruppen mit, er veröffentlicht regelmäßig Artikel und ist u. a. Forschungspreis-Gewinner 2015 der AG Keramik.

Was mir wichtig ist

Was meine Kursteilnehmer erwartet

Das Wissen um Materialien und handwerkliche Techniken darf nicht verloren gehen, das werden wir immer brauchen. Meine Generation kennt zum Glück beide Welten: Wir können löten und gießen und wissen um das Potenzial jeder einzelnen Keramikmasse, gleichzeitig finden wir uns in der digitalen Welt zurecht. Diesen werkstoffkundlichen Wissensschatz über Massen und Mischverhältnisse möchte ich weitergeben.

Vieles habe ich mir vom Jungzahntechniker bis hin zum Oral Designer selbst erarbeitet, vieles habe ich von erfahrenen Kollegen gelernt: Dieses gebündelte Wissen möchte ich in meinen Kursen unverfälscht weitergeben – vom ersten Opakerbrand bis zur letzten Effektmasse. Unverfälscht heißt: Bei mir gibt es keine Geheimnisse, jede Frage wird beantwortet!
Mein Angebot: Wer als junger beziehungsweise noch unerfahrener Keramiker ein Level höher steigen möchte, den begleite ich, dem öffne ich eine Tür, die er allein vielleicht nicht aufbekommen hätte, dem gebe ich quasi ein neues Auge, mit dem er Dinge erkennen und umsetzen kann, die ihm vorher verborgen geblieben wären.

Weitere Kurse mit Stefan Frei

Stefan Frei
Creation Magic Colour / ZI-CT
Berlin
Thomas Stefan Sing

The Art behind the Smile. „Bleach vs. Natural“ oder „Das Spiel der Gegensätze“

In diesem exklusiven Hands-on-Kurs mit Thomas Stefan Sing erarbeiten die Teilnehmenden vier Frontzähne: zwei in natürlicher Zahnfarbe und zwei in

Berlin
Otto Prandtner

Dentale Persönlichkeit – Intensivseminar mit Otto Prandtner

Zähne sind mehr als nur ein funktionelles Element – sie sind Ausdruck unserer Persönlichkeit. In diesem Intensivseminar lernen Sie die

Stefan Frei
Creation ZI-CT
Münster
Andreas Nolte

Frontzahnformen I: Der zentrale Inzisivus – die Einzelzahnrekonstruktion

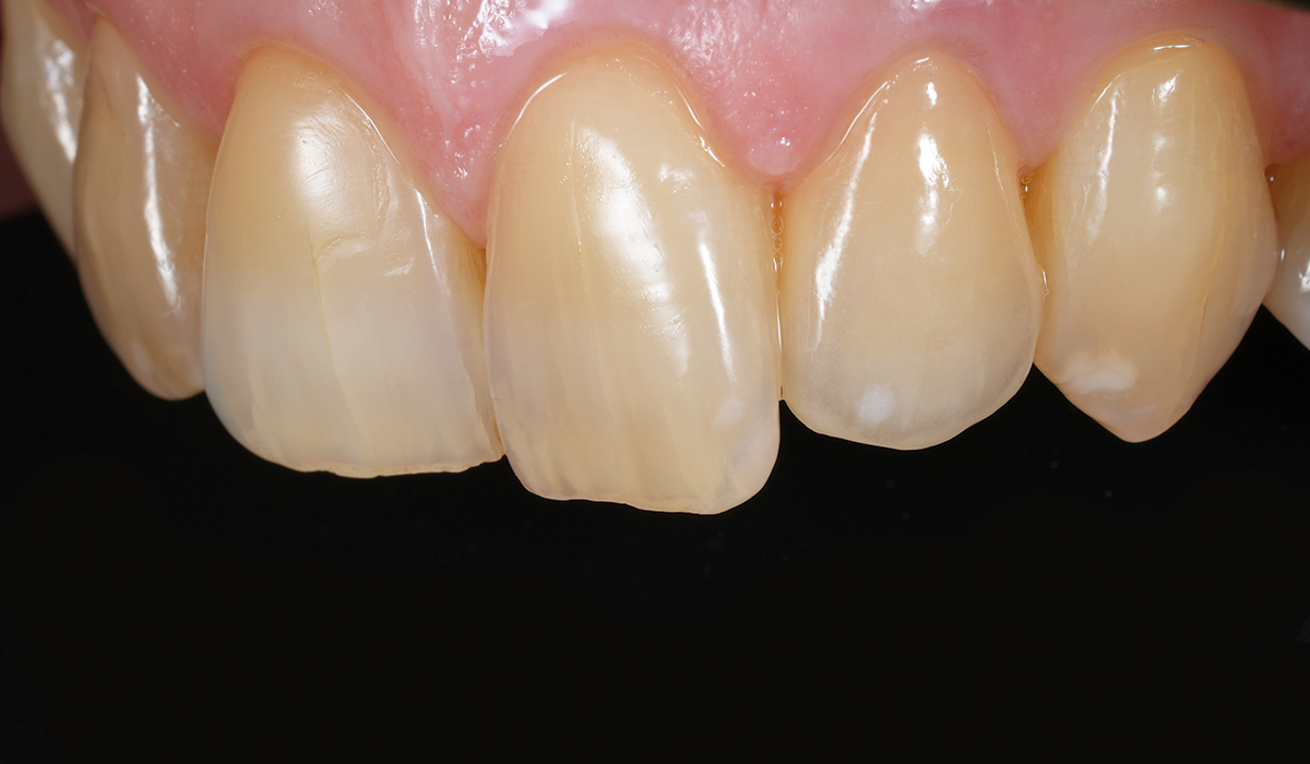
Die Form ist der Schlüssel zum perfekten Erscheinungsbild von Front­zähnen – und damit entscheidend für den Erfolg unserer Arbeit. Sie beein-

Stefan Frei
Creation LS Creation ZI-CT
Dresden
Haristos Girinis

Vollkeramik Basics – Beyond Limits

Der Kurstitel „Vollkeramik Basics – Beyond Limits“ steht dafür, dass selbst ein Basiskurs mehr bietet als reine Grundlagen: Er ermutigt, Gewohntes zu hinterfragen, die Creation-Keramiken

Stefan Frei
CreaColor Creation ZI-CT
Meiningen / Österreich
Patrick Heidt

High Ästhetik versus Effizienz – Ist weniger mehr?

Zwei Wege zum perfekten Lächeln – Vergleich moderner Techniken in der Frontzahnästhetik. Im modernen Laboralltag stehen Zahntechniker/innen