Anthimos Maki Tolomenis

Anthimos Maki Tolomenis absolvierte seine Ausbildung zum Zahntechniker von 1997 bis 2001. Er sammelte Erfahrungen durch diverse Kurse bei namhaften Zahntechnikern und in verschiedenen Dentallaboren: Martin Gerardi in Viersen (5 Jahre), Experident in Essen (14 Jahre) und Hands in Essen (1 Jahr). Danach war Antimos Tolomenis auch als Zahntechniker für die Universitätsklinik Düsseldorf tätig. 2021 machte er sich mit seinem Labor Dental Labor Hands GmbH in Essen selbstständig. Seit vielen Jahren ist er zudem als nationaler und internationaler Kurs- und Vortragsreferent tätig.

Was mir wichtig ist

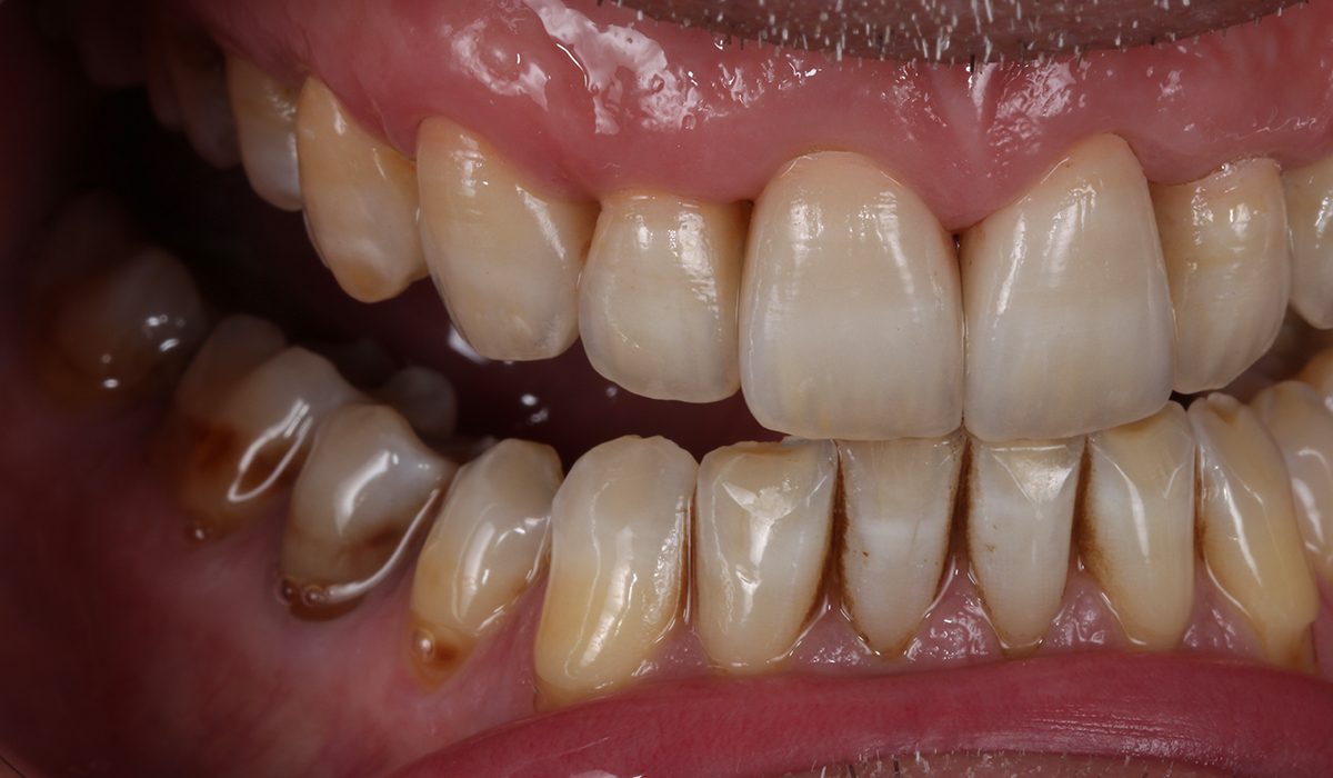
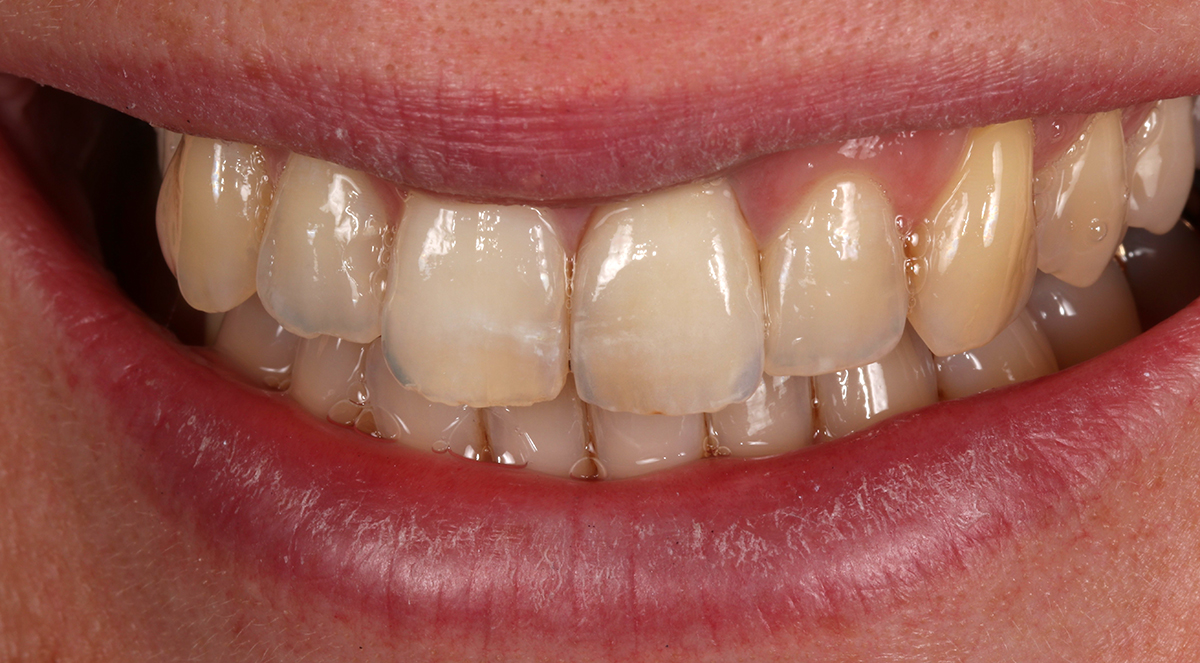
Das Wissen um Materialien und handwerkliche Techniken darf nicht verloren gehen, das werden wir immer brauchen. Meine Generation kennt zum Glück beide Welten: Wir können löten und gießen und wissen um das Potenzial jeder einzelnen Keramikmasse, gleichzeitig finden wir uns in der digitalen Welt zurecht. Diesen werkstoffkundlichen Wissensschatz über Massen und Mischverhältnisse möchte ich weitergeben.

Was meine Kursteilnehmer erwartet

Vieles habe ich mir vom Jungzahntechniker bis hin zum Oral Designer selbst erarbeitet, vieles habe ich von erfahrenen Kollegen gelernt: Dieses gebündelte Wissen möchte ich in meinen Kursen unverfälscht weitergeben – vom ersten Opakerbrand bis zur letzten Effektmasse. Unverfälscht heißt: Bei mir gibt es keine Geheimnisse, jede Frage wird beantwortet!
Mein Angebot: Wer als junger beziehungsweise noch unerfahrener Keramiker ein Level höher steigen möchte, den begleite ich, dem öffne ich eine Tür, die er allein vielleicht nicht aufbekommen hätte, dem gebe ich quasi ein neues Auge, mit dem er Dinge erkennen und umsetzen kann, die ihm vorher verborgen geblieben wären.